人民网重庆1月8日电12月11日早上,家住梁平,今年53岁的蒋先生用竹竿拆棚架时,失手将竹竿扎进右侧鼻翼,...[详细]
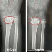
人民网重庆1月8日电 本来以为复位后就好了,没想到过了一段时间再次错位,还越来越严重,当地医院都说时...[详细]